Carlos Felipe Barrera-Ramirez1*, Angelica Noemi Diaz-Castano2, Hermes Ilarraza-Lomeli3, Luis Ramon Pineda-Pompa1, Maria Del Rayo Pacheco-Rios3 and Gabriel Rivera-Rios4
1Division of Interventional Cardiology, Centro Hospitalario La Concepcion, Saltillo, Coahuila de Zaragoza, Mexico
2Infectology and Microbiology Service, Centro Hospitalario La Concepcion, Saltillo, Coahuila de Zaragoza, Mexico
3Cardiac Rehabilitation Service, Instituto Nacional de Cardiologia, “Ignacio Chavez”, Mexico
4Radiology and Image Service, Centro Hospitalario La Concepcion, Saltillo, Coahuila de Zaragoza, Mexico
*Corresponding author: Carlos Felipe Barrera-Ramirez, Division of Interventional Cardiology, Centro Hospitalario La Concepcion, Blvd. V. Carranza 4036-1H, Colonia Villa Olimpica, CP 25230, Saltillo, Coahuila de Zaragoza, Mexico, E-mail: carlosfbarrera@yahoo.com
Received: May 27, 2020; Accepted: June 10, 2020; Published: July 03, 2020
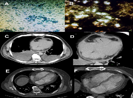
Citation: Barrera-Ramirez CF, Diaz-Castano AN, Ilarraza-Lomelí H, et al. Isolated Cardiac Cryptococcosis in an Immunocompetent Host. Clin Image Case Rep J. 2020; 2(3): 116.


