Department of General Surgery
and Medical-Surgical Specialties,
University of Catania, Italy
Cite Score : 3.7 Frequency : Bi-monthly
Submit Manuscript or email at
Clinical Images and Case Reports Journal (CICRJ) is a peer-reviewed high impact factor open access medical journal established Internationally which provides a platform to publish clinical images, medical images, illustrations, case reports, case series (series of 2 to 6 cases) and clinical videos in medicine. Clinical Images and Case Reports are an important element of scientific publication and the journal accepts rigorous image articles and original case reports that makes a significant contribution in advancing knowledge in the field of medicine. Educational role of the clinical images and case reports journal is an important one and images are a helpful way to learn about clinical scenarios in an easily digestible format.
Clinical images and case reports are an essential part of medical research and clinical practice, and journal of clinical images plays a crucial role in promoting good clinical practice and advancing medical knowledge. By providing a platform for the publication of high-quality images and reports in clinical medicine, the journal contributes to the improvement of patient care and the development of new treatments and procedures. We encourage medical professionals to submit their work to the journal and be a part of this important field of research. Case reports offer unique value to the body of medical knowledge by describing new diseases, mechanisms, therapeutic approaches and adverse or beneficial effects of drugs. Journal exploring importance of clinical images and medical case reports and the role of journal is promoting good clinical practice. Clinical images in medicine journal publishes variety of health care practices evolved to maintain and restore health.
Clinical Images and Case Reports Journal focuses on the topics that includes:
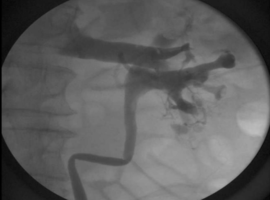
An Exceptionally Rare Retrograde Pyelogram Finding with an Unexpected Cause
DeSanto M*, Weber T, Hale N. (USA)
Acral Metastasis of Oral Squamous Cell Carcinoma: A Rare Presentation
Ribeiro RP*, Pinhal AL, Almeida J. (Portugal)
Signet Ring Cell Carcinoma Presenting as Terminal Ileitis: A Case Report
Chapman L*, Gonzalez S, Turner T, et al. (USA)
Diffuse Hepatic Hemangiomatosis with Left-Lobe Predominance
Meneses JP*, Correia M, Mendes H, et al. (Portugal)
Clinical medicine images journal accepting articles in the form of clinical images, medical illustrations, clinical case reports & videos in medicine for publication. Journal accepting submission of clinical images, case reports articles for publication process to ensure the quality and relevance of the published content. Clinical images submission journal allows the publication of high-quality clinical images, which can be crucial for medical education, diagnosis and research. Journal of clinical images and medical illustrations accepts clinical pictures, surgical video recording cases in internal & emergency medicine for publication. Clinical images journal indexed in International databases and worldwide academic publisher of medical literatures, case studies, research and health reports.
Clinical images in medicine journal accepts submission to publish images in clinical medicine articles managing the disease, diagnosis, prevention & treatment. Medical images submission journal accepted submission of medical image articles for publishing in practice of clinical medicine, case reports & surgery videos. Submission of images in clinical medicine journal encourages publication of medical image articles by providing a platform for reporting unique and rare cases. Journal of medical images publishes case reports in medicine, health and clinical practice including images, case series, clinical videos and research articles. Medical image journal accepting case study submission to publish.
Journal of clinical case reports publishing clinical reports, images, case series, clinical videos in all medical specialties for publication. Clinical case reports journal encourages submission of image articles, case reports in medical science to present unique and rare study, diagnosis & treatment. Journal accepting submission of clinical case reports for publication that focuses on symptoms, diagnosis and treatment in the form of medical reports & images. Journal of medicine case reports accepting submission of articles in the form of surgical case reports and images in all subjects of medicines for publication. Case reports in medicine journal publishes all types of medical case reports & clinical images in health science and clinical practice to publish and index online.
Journal of medical case reports accepting articles in the form of medical case study, clinical case reports, case series and videos in medicine for publication. Journal accepting submission of medical case reports, research and reviews to publish in the field of internal medicine, emergency medicine & clinical practice. Medical case reports submission journal publishing clinical research studies, surgery case reports, surgical images and video articles in clinical medicine. Case reports in clinical medicine journal aims to publish medical case reports, emergency & internal medicine, images in clinical practice and surgery cases. Journal accepting clinical and medical abstract for publication.



