contact@literaturepublishers.org
Whitley Bay, NE26 2HU, England, UK
Submit Manuscript
Home
Aim & Scope
Editorial Board
Articles
Current Issue
Archive
Instructions
Reprints
Contact Us
Home
Aim & Scope
Editorial Board
Articles
Current Issue
Archive
Instructions
Reprints
Contact Us
Articles In Press
Home
Articles In Press
Articles Will Be Published In The Upcoming Issue.
Abstract
Full Text
PDF
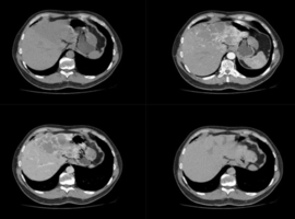
Diffuse Hepatic Hemangiomatosis with Left-Lobe Predominance
Volume 8, Issue 1
:
Read More
Abstract
Full Text
PDF
Outpatient vs Inpatient Lumbar Fusion
Volume 8, Issue 1
:
Read More
Abstract
Full Text
PDF
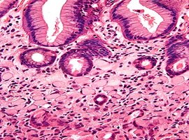
Signet Ring Cell Carcinoma Presenting as Terminal Ileitis: A Case Report
Volume 8, Issue 1
:
Read More
Abstract
Full Text
PDF
Acral Metastasis of Oral Squamous Cell Carcinoma: A Rare Presentation
Volume 8, Issue 1
:
Read More
Abstract
Full Text
PDF
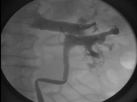
An Exceptionally Rare Retrograde Pyelogram Finding with an Unexpected Cause
Volume 8, Issue 1
:
Read More