Nozomu Motono1*, Akihiko Shioya2, Sohsuke Yamada2 and Hidetaka Uramoto1
1Department of Thoracic Surgery, Kanazawa Medical University, 1-1 Daigaku, Uchinada, Ishikawa, 920-0293, Japan
2Department of Clinical Pathology, Kanazawa Medical University, 1-1 Daigaku, Uchinada, Ishikawa, 920-0293, Japan
*Corresponding author: Nozomu Motono, Department of Thoracic Surgery, Kanazawa Medical University, 1-1 Daigaku, Uchinada, Ishikawa, 920-0293, Japan, E-mail: motono@kanazawa-med.ac.jp
Received: July 22, 2020; Accepted: August 03, 2020; Published: August 25, 2020
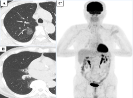
Citation: Motono N, Shioya A, Yamada S, et al. Pulmonary Typical Carcinoid on Right Middle Lobe Hypoplasia: A Case Report and Review of the Literature. Clin Image Case Rep J. 2020; 2(3): 120.


